龋齿问题是当前学龄前儿童最常见的健康问题之一。为进一步加强孩子们口腔健康知识的宣传,让孩子们养成从小爱护牙齿的好习惯,切实做好幼儿园卫生保健工作。文昌市幼儿园为小朋友们准备了丰富的牙齿健康知识哦!

一、口腔生长发育
胚胎期:化学药物、X线照射、病毒等可诱发胎儿先天畸形,如孕妇服用肾上腺皮质激素,可导致唇腭裂。
胎儿期:母亲钙、磷、维生素缺乏,影响乳牙钙化,出现乳牙釉质发育不良。
新生儿期:唾液腺不发达,唾液分泌量少,口腔黏膜比较干燥,容易发生感染,最常见的有白色念珠菌感染(雪口病),喂养时注意奶瓶等器具的消毒卫生。经常喂点白开水保持口腔清洁。
婴儿期:此期正是乳牙萌出,恒牙钙化期,营养紊乱或疾病均可导致乳牙萌出迟缓,恒牙的发育不良。
幼儿期:两岁半时乳牙全部出齐,但牙齿钙化度不够,极易引起龋坏。因为生长发育的需要,小儿饮食量相对较多,每天进食次数多,糖类食品多。若不适当控制食糖量,注意口腔卫生和睡前吃糖的习惯,会导致猖獗龋的发生。
学龄期:呼吸道疾病形成张口呼吸,久之容易形成患儿开唇露齿等牙齿畸形。
青春发育期:恒牙替换完成,牙齿畸形的最佳矫正期。
人的一生有2副牙齿:乳牙和恒牙。

正确认识乳牙:
开始萌出:6个月
萌出完全:2.5岁
完整乳牙列:2.5~6岁
总共有20颗

牙齿的结构:

健康的牙齿:
牙齿干净
没有龋齿
无疼痛
没有出血现象
牙龈颜色正常


二、口腔保健
健康的儿童多在6月左右开始出乳牙,2岁半左右20颗乳牙出齐。牙齿萌出的时间个体之间存在一定差异。乳牙可早在4月或晚到10月萌出,这都属正常范围。若10月以后仍未萌出,只要身体没有其它毛病,晚到一周岁才长第一颗乳牙,也可认为是正常的。
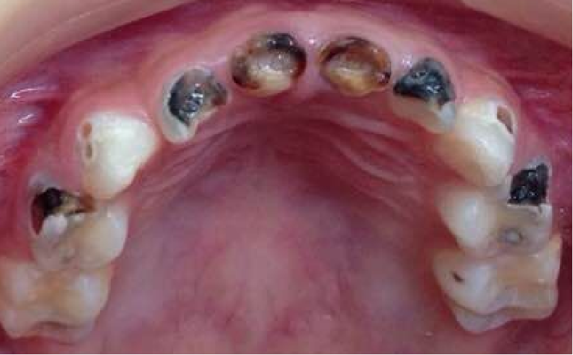
5岁年龄组儿童的乳牙患龋率高达70%!12岁恒牙的患龋率也高达50%!
含着奶瓶睡觉易患“奶瓶龋”。

奶瓶龋
奶嘴孔太小或平躺着吃奶易形成下颌前伸的反颌畸形。遗传倾向。

反牙合(“地包天”)
防龋:
1.刷牙
●圆弧法(幼儿)

●幼儿牙刷(小头软毛,易握、防滑,卡通可爱)
●儿童牙膏(不要吞咽)
●3岁以下儿童禁用含氟牙膏,3-6岁应在家长监督与指导下使用,约为黄豆大小。
●一天两次,一次2分钟。牙刷3个月一换。

2.氟化物
使用含氟防龋儿童牙膏
在幼儿园集体使用局部含氟材料
局部用氟的效果与儿童开始使用的早晚有关,对新萌出的牙齿效果较好。这是因为刚萌出的牙齿还处在继续矿化过程中,局部用氟可增进牙齿矿化、加强抗龋能力。
在医生指导下定期涂氟(2%氟化钠、8%氟化亚锡)

氟化泡沫
:又叫酸性氟磷酸盐(APF),一种富含氟离子的泡沫。

优点:
(1)利用较小的氟含量达到较大的氟吸收(氟离子吸收率高达90%以上),从而产生安全有效的防龋效果。
(2)操作简单。安全可靠,适于大面积群体推广。
(3)防治方法简单,不影响学校正常的教学秩序,费用比较低廉。
(4)口味好。氟化泡沫有多种口味,如苹果味、菠萝味、草莓味等。适合儿童口味,所以防治是在愉快中进行的。
特点:
安全:使用量少,低风险。
高效:每年使用两次,乳恒牙患龋率可降低50%-70%。
简洁:无需专业设备,只需要几分钟操作时间。
经济:较少的费用投入预防,降低患龋率,减少医疗费用和病痛。
接受度高:儿童容易接受。
禁忌症:
溃疡性龈炎
对局部用氟制剂任何成分有过过敏史的个体
需要住院治疗的支气管哮喘

局部用氟的指南:
卫生部《口腔预防适宜技术操作规范》-2009.1
局部用氟适应人群
(1)学龄前儿童、中小学生;
(2)口腔内已经有多个龋齿者;
(3)口腔内带有固定矫正器者;
(4)牙列拥挤或牙排列不齐者;
(5)釉质脱矿或釉质发育有缺陷者;
(6)牙龈萎缩,牙根面暴露的中老年人;
(7)长期药物治疗导致的口干综合症者;
(8)进食甜食频率高且口腔卫生较差者;
(9)头颈部进行放射线治疗者;
(10)不能进行口腔自我清洁的残障者;
六龄齿:
最后一颗乳磨牙(第二乳磨牙)后方悄悄萌出的是第一恒磨牙,因在6岁左右萌出,又称“六龄齿”,它对维持健全的牙列起着关键性的作用。
在整个恒牙列中萌出最早、使用时间最长,发生龋病和其它损害的机会较多,因此一定要加强对其保护,做到无龋早防(如局部涂氟和窝沟封闭),有龋早治。
因“六龄齿”在乳牙列最后方,萌出时往往不在意,有的家长误当是乳牙,6-7岁时发现“六龄齿”龋坏,以为很快要被替换,结果越烂越多,甚至失去治疗机会。“六龄齿”完全萌出后,必要时可到医院做窝沟封闭加以保护。

3.窝沟封闭
人类的牙齿,特别是后牙的咬颌面,有点、隙、裂、沟。有些窝沟又深又窄食物残渣和细菌菌斑容易存留在里面,因此是龋齿的好发部位。
不去除牙体组织,使用对人体无害的材料涂布在牙齿的点隙窝沟上,保护牙齿不受细菌及代谢产物侵蚀,形成有效的保护屏障,预防龋病发生的有效方法。


4.定期检查
幼儿口腔保健,尽量每半年一次。不少家长对幼儿乳牙的保护并不在意,总觉得乳牙反正会换,没有关系。事实上,幼儿的乳牙也要好好保护,否则形成龋齿后,也会影响到恒牙的正常发育。每隔6个月的定期检查,可做到早预防、早发现、早治疗。

三、口腔常见疾病
乳牙龋病在临床上表现为急性龋与慢性龋,湿性龋与干性龋
1.奶瓶龋:主要发生于上颌乳切牙的唇面,较快发展成广泛性龋
2.环状龋:乳前牙唇面、邻面龋较快发展成围绕牙冠的广泛性的环状龋,呈卷脱状,多现于牙冠中部至牙颈部
3.猖獗性龋:把突然发生广范围快速的龋蚀,即使不易患龋的下颌乳前牙也受到龋蚀的侵蚀,而且随着乳牙龋蚀很快发生牙髓感染的这类龋蚀称为猖獗性龋。

乳牙龋蚀的特点:
患龋率高、发病早
龋齿多发、龋蚀范围广
自觉症状不明显
修复性牙本质的形成活跃
乳牙易患龋的因素:
乳牙的解剖形态的特点
乳牙组织结构的特点
食物
口腔自洁和清洁作用差

作为幼儿口腔健康的“第一负责人”
家长要多多关注口腔保健知识
根据儿童生长规律
及时做好孩子的口腔护理
并引导他们从小爱牙护齿
远离口腔问题

版权所有:Copyright 2019 © All Rights Reserved.
琼ICP备19003989号 文昌市幼儿园